Medizintechnik
mediaire führt mit mdbrain weltweit ersten neuroradiologischen KI-Assistenten mit vollautomatischer Detektion von Aneurysmen ein
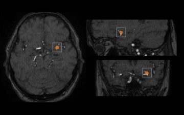
Für die Differenzialdiagnostik und Verlaufskontrolle von Erkrankungen des Gehirns ist die MagnetResonanzTomographie (MRT) eine wichtige Säule. Diese kann in Kombination mit moderner Computertechnik und Künstlicher Intelligenz (KI) zusätzliche quantitative Informationen zur Verfügung stellen, die zu besseren Ergebnissen für Patienten führen. Für die Erkennung von Aneurysmen – krankhaften Aussackungen von Hirngefäßen Weiterlesen…
